切换至 "中华医学电子期刊资源库"

中华脑血管病杂志(电子版) ›› 2024, Vol. 18 ›› Issue (01) : 86 -88. doi: 10.11817/j.issn.1673-9248.2024.01.014

病例报告

长时程心肺复苏患者抢救成功一例报道
杨思敏1, 吴仔弦1, 孙海伟1, 华晨1, 邹勤华1, 袁慧琴1, 朱建军1, 周保纯1,()   
  1. 1. 215000 江苏苏州,苏州大学附属第二医院急重症医学科
  • 收稿日期:2023-07-31 出版日期:2024-02-01
  • 通信作者: 周保纯

A successful rescue report of long-term cardio-pulmonary resuscitation

Simin Yang, Zixian Wu, Haiwei Sun   

  • Received:2023-07-31 Published:2024-02-01
引用本文:

杨思敏, 吴仔弦, 孙海伟, 华晨, 邹勤华, 袁慧琴, 朱建军, 周保纯. 长时程心肺复苏患者抢救成功一例报道[J/OL]. 中华脑血管病杂志(电子版), 2024, 18(01): 86-88.

Simin Yang, Zixian Wu, Haiwei Sun. A successful rescue report of long-term cardio-pulmonary resuscitation[J/OL]. Chinese Journal of Cerebrovascular Diseases(Electronic Edition), 2024, 18(01): 86-88.

院外心搏骤停被公认为威胁人类健康的主要杀手之一,据报道,全球院外心搏骤停的年发病率约为55/100 000,平均存活率为7%。在中国,每年有近55万例院外心搏骤停患者,而存活率却不到1%。心肺复苏(cardiopulmonary resuscitation,CPR)是救治心搏骤停的最有效措施,早期高质量CPR对于患者自主循环恢复、增加存活率、改善预后及提高生存质量有重要意义。长时程CPR是指超过一般复苏的时限而进行的长时间的CPR。一般认为,CPR时间越长,患者出现不良预后的概率越大。呼吸、心搏骤停超过30 min仍复苏成功的较为罕见。本文将报道1例院外心搏骤停患者,CPR持续83 min后恢复自主循环,且出院后未留下明显神经系统后遗症。

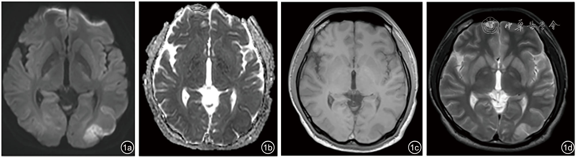
图1 患者头颅MRI示两侧顶枕叶见片状弥散加权成像高信号(图a)、表观扩散系数等低信号(图b)、T1加权成像稍低信号(图c)、T2加权成像高信号(图d)病灶,大多位于皮质区,胼胝体压部、基底节区各深部核团见类似信号灶,结合病史,考虑缺血缺氧性脑病
图2 患者脑损伤标志物神经元特异性烯醇化酶(NSE)在住院期间呈持续下降趋势,峰值为64 ng/ml,<80 ng/ml,并于第7天降至正常范围,提示患者脑功能良好预后可能
表1 经颅多普勒超声评估患者大脑中动脉血流动力学参数
图3 患者入院后8 h行近红外光谱脑氧饱和度监测,共监测59 h,局部脑氧饱和度整体呈上升趋势,右侧脑氧饱和度在患者入院1 d后整体较左侧高 注:CH1为左额脑氧饱和度(黄色趋势线,范围为57%~95%,平均值为74%),CH2为右额脑氧饱和度(蓝色趋势线,范围为47%~95%,平均值为77%)
1
Berdowski J, Berg RA, Tijssen JGP, et al. Global incidences of out-of-hospital cardiac arrest and survival rates: Systematic review of 67 prospective studies [J]. Resuscitation, 2010, 81(11): 1479-1487.
2
Xu F, Zhang Y, Chen Y. Cardiopulmonary resuscitation training in China: current situation and future development [J]. JAMA Cardiol, 2017, 2(5): 469-470.
3
Nolan JP, Soar J, Wenzel V, et al. Cardiopulmonary resuscitation and management of cardiac arrest [J]. Nat Rev Cardiol, 2012, 9(9): 499-511.
4
Reynolds JC, Frisch A, Rittenberger JC, et al. Duration of resuscitation efforts and functional outcome after out-of-hospital cardiac arrest [J]. Circulation, 2013, 128(23): 2488-2494.
5
Panchal AR, Bartos JA, Cabañas JG, et al. Part 3: Adult Basic And Advanced Life Support: 2020 American Heart Association Guidelines for Cardiopulmonary Resuscitation and Emergency Cardiovascular Care [J]. Circulation, 2020, 142(16_suppl_2): S366-S468.
6
Malta Hansen C, Kragholm K, Pearson DA, et al. Association of bystander and first-responder intervention with survival after out-of-hospital cardiac arrest in North Carolina, 2010-2013 [J]. JAMA, 2015, 314(3): 255-264.
7
Nakahara S, Tomio J, Ichikawa M, et al. Association of bystander interventions with neurologically intact survival among patients with bystander-witnessed out-of-hospital cardiac arrest in Japan [J]. JAMA, 2015, 314(3): 247-254.
8
吴仔弦, 杨思敏, 周保纯. 心搏骤停后综合征患者神经功能预后评估研究进展 [J/OL]. 中华脑血管病杂志(电子版), 2022, 16(3): 202-205.
9
Meng L, Hou W, Chui J, et al. Cardiac output and cerebral blood flow: the integrated regulation of brain perfusion in adult humans [J]. Anesthesiology, 2015, 123(5): 1198-1208.
10
Kishimori T, Matsuyama T, Yamada T, et al. Intra-aortic balloon pump and survival with favorable neurological outcome after out-of-hospital cardiac arrest: a multicenter, prospective propensity score-matched study [J]. Resuscitation, 2019, 143: 165-172.
11
Genbrugge C, Eertmans W, Meex I, et al. What is the value of regional cerebral saturation in post-cardiac arrest patients? A prospective observational study [J]. Critical Care, 2016, 20(1): 327.
12
Meynaar IA, Straaten HMO, van der Wetering J, et al. Serum neuron-specific enolase predicts outcome in post-anoxic coma: a prospective cohort study [J]. Intensive Care Med, 2003, 29(2): 189-195.
13
杜兰芳, 马青变. 《2020年中国心脏骤停后脑保护专家共识》解读一: 神经功能评估[J/OL]. 中华脑血管病杂志(电子版), 2021, 15(4): 228-231.
No related articles found!
阅读次数
全文


摘要


AI


AI小编
你好!我是《中华医学电子期刊资源库》AI小编,有什么可以帮您的吗?