切换至 "中华医学电子期刊资源库"

中华脑血管病杂志(电子版) ›› 2026, Vol. 20 ›› Issue (02) : 119 -125. doi: 10.3877/cma.j.issn.1673-9248.2026.02.002

专家论坛

颈动脉漂浮血栓的研究进展
邓依婷, 李旭子, 罗安玲, 杨玉佳, 陈雨婕, 阳钦, 何俐, 周沐科()   
  1. 610041 四川成都,四川大学华西医院神经内科
  • 收稿日期:2025-11-14 出版日期:2026-04-01
  • 通信作者: 周沐科
  • 基金资助:
    国家科技重大专项(2024ZD0527700)

Advances in carotid free-floating thrombus

Yiting Deng, Xuzi Li, Anling Luo, Yujia Yang, Yujie Chen, Qin Yang, Li He, Muke Zhou()   

  1. Department of Neurology, West China Hospital, Sichuan University, Chengdu 610041, China
  • Received:2025-11-14 Published:2026-04-01
  • Corresponding author: Muke Zhou
引用本文:

邓依婷, 李旭子, 罗安玲, 杨玉佳, 陈雨婕, 阳钦, 何俐, 周沐科. 颈动脉漂浮血栓的研究进展[J/OL]. 中华脑血管病杂志(电子版), 2026, 20(02): 119-125.

Yiting Deng, Xuzi Li, Anling Luo, Yujia Yang, Yujie Chen, Qin Yang, Li He, Muke Zhou. Advances in carotid free-floating thrombus[J/OL]. Chinese Journal of Cerebrovascular Diseases(Electronic Edition), 2026, 20(02): 119-125.

颈动脉漂浮血栓(CFFT)是一种罕见但具有高栓塞风险的病变,常导致急性缺血性脑卒中或短暂性脑缺血发作。CFFT的发病机制尚未完全明确,主要与动脉粥样硬化斑块破裂有关。影像学检查在CFFT的诊断中发挥着核心作用。近年来,非侵入性影像技术逐渐成为主要诊断手段。尽管对CFFT的认识在不断加深,但由于病例相对罕见,缺乏大样本研究,目前CFFT的治疗尚无统一规范。现有治疗策略主要包括抗凝治疗、抗血小板治疗及外科或血管内干预治疗,近年来对CFFT的小样本观察性研究逐渐增多,但具体治疗方案仍存在争议。本研究综述了CFFT的流行病学、发病机制、影像学诊断及当前治疗策略,旨在总结最新研究证据,促进临床对该病的早期识别与规范化管理,并为未来开展高质量前瞻性研究提供参考。

Carotid free-floating thrombus (CFFT) is a rare but high-risk condition for embolic events, often leading to acute ischemic stroke or transient ischemic attack. The pathogenesis of CFFT remains incompletely understood, with most cases related to rupture of atherosclerotic plaques. Imaging plays a central role in the diagnosis of CFFT, and noninvasive imaging techniques have become the main diagnostic tools in recent years. Although understanding of CFFT has deepened, the rarity of cases and lack of large-scale studies mean that standardized treatment guidelines are still unavailable. Current treatment strategies mainly include anticoagulation, antiplatelet therapy, and surgical or endovascular intervention. Despite the increasing number of recent small-scale observational studies on CFFT, the optimal management strategy remains controversial. This review summarizes recent evidence on the epidemiology, pathogenesis, imaging diagnosis, and current treatment strategies of CFFT, aiming to enhance early recognition and standardized management in clinical practice and to provide insights for future high-quality prospective studies.

表1 不同影像学检查在CFFT诊断中的优点、局限性、表现和适用场景
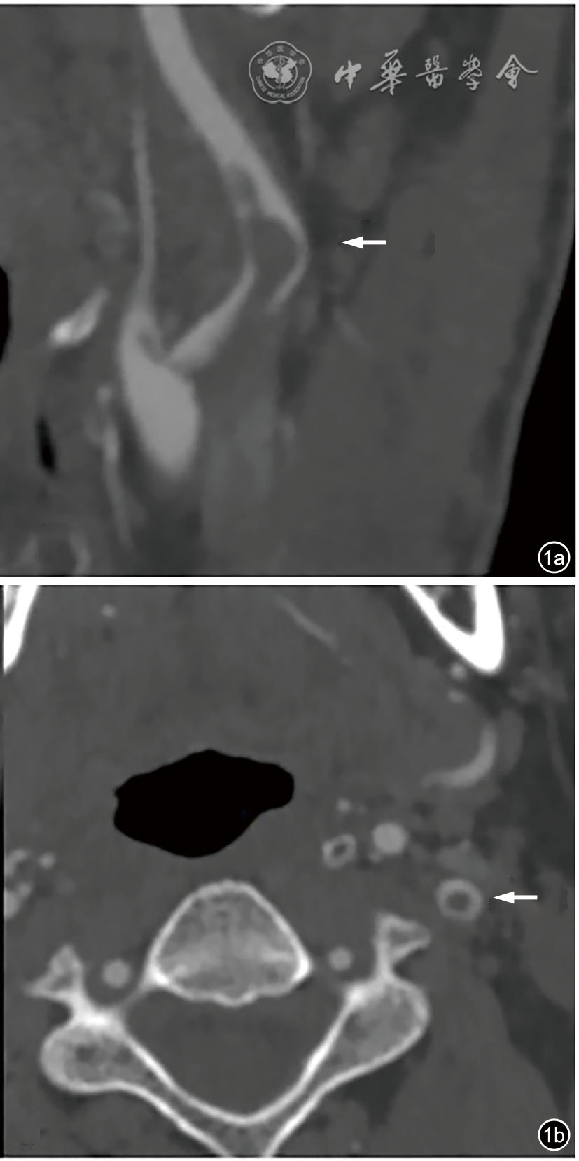
图1 颈动脉漂浮血栓的CT血管成像的影像学表现。图a为矢状位图,表现为血管腔内充盈缺损(白色箭头);图b为横轴位图,“甜甜圈征”(白色箭头)[4]
1
Roberson GH, Scott WR, Rosenbaum AE. Thrombi at the site of carotid stenosis. Radiographic diagnosis [J]. Radiology, 1973, 109(2): 353-356.
2
Bhatti AF, Leon LR, Labropoulos N, et al. Free-floating thrombus of the carotid artery: literature review and case reports [J]. J Vasc Surg, 2007, 45(1): 199-205.
3
Fridman S, Lownie SP, Mandzia J. Diagnosis and management of carotid free-floating thrombus: a systematic literature review [J]. Int J Stroke, 2019, 14(3): 247-256.
4
Müller MD, Raptis N, Mordasini P, et al. Natural history of carotid artery free-floating thrombus-A single center, consecutive cohort analysis [J]. Front Neurol, 2022, 13: 993559.
5
El Harake S, Doche E, Bertolino J, et al. Symptomatic carotid free-floating thrombus: about management of 50 cases in a referral neurovascular center [J]. J Clin Med, 2023, 12(23): 7238.
6
Das S, Goldstein ED, de Havenon A, et al. Composition, treatment, and outcomes by radiologically defined thrombus characteristics in acute ischemic stroke [J]. Stroke, 2023, 54(6): 1685-1694.
7
Buchan A, Gates P, Pelz D, et al. Intraluminal thrombus in the cerebral circulation. Implications for surgical management [J]. Stroke, 1988, 19(6): 681-687.
8
Arning C, Herrmann HD. Floating thrombus in the internal carotid artery disclosed by B-mode ultrasonography [J]. J Neurol, 1988, 235(7): 425-427.
9
Alhowaish TS, Alhamadh MS, Alsulayhim A, et al. IntraluminaL thrombus of the extracranial cerebral arteries in acute ischemic stroke: manifestations, treatment strategies, and outcome [J]. Vasc Health Risk Manag, 2024, 20: 1-12.
10
张磊, 王小雅, 坚雅婷, 等. 症状性颈动脉漂浮血栓的血管内治疗探索 [J]. 中国卒中杂志, 2023, 18(10): 1136-1142.
11
Dowlatshahi D, Lum C, Menon BK, et al. Aetiology of extracranial carotid free-floating thrombus in a prospective multicentre cohort [J]. Stroke Vasc Neurol, 2022, 8(3): 194-196.
12
Esenwa C, Cheng NT, Lipsitz E, et al. COVID-19-associated carotid atherothrombosis and stroke [J]. AJNR Am J Neuroradiol, 2020, 41(11): 1993-1995.
13
Afsharfard A, Gholizadeh B, Abdolalian Y, et al. Carotid free-floating thrombus causing stroke in a young woman with lupus anticoagulant: a case report and review of the literature [J]. Int J Surg Case Rep, 2017, 33: 35-37.
14
Watanabe M, Mori T, Imai K, et al. Distal migration of a floating carotid thrombus in a patient using oral contraceptives: a case report [J]. J Med Case Rep, 2009, 3: 8389.
15
Poggetti F, Schwarz G, Piano M, et al. Intraluminal carotid thrombus leading to postpartum stroke: a case study [J]. Neurol Sci, 2024, 45(4): 1735-1739.
16
Tanriverdi U, Kizilkilic O, Ince B. Huge free-floating thrombus in the internal carotid artery [J]. J Stroke Cerebrovasc Dis, 2017, 26(12): 3029-3030.
17
Delgado MG, Vega P, Roger R, et al. Floating thrombus as a marker of unstable atheromatous carotid plaque [J]. Ann Vasc Surg, 2011, 25(8): 1142.e11-e17.
18
Pensato U, Forlivesi S, Gentile M, et al. Carotid free-floating thrombus in COVID-19: a cerebrovascular disorder of cytokine storm-related immunothrombosis [J]. Neurol Sci, 2023, 44(6): 1855-1860.
19
Davies MJ. Pathology of arterial thrombosis [J]. Br Med Bull, 1994, 50(4): 789-802.
20
Singh RJ, Chakraborty D, Dey S, et al. Intraluminal thrombi in the cervico-cephalic arteries [J]. Stroke, 2019, 50(2): 357-364.
21
Jackson SP. Arterial thrombosis--insidious, unpredictable and deadly [J]. Nat Med, 2011, 17(11): 1423-1436.
22
Kim SJ, Nogueira RG, Haussen DC. Current understanding and gaps in research of carotid webs in ischemic strokes: a review [J]. JAMA Neurol, 2019, 76(3): 355-361.
23
Compagne KCJ, Dilba K, Postema EJ, et al. Flow patterns in carotid webs: a patient-based computational fluid dynamics study [J]. AJNR Am J Neuroradiol, 2019, 40(4): 703-708.
24
Bick RL. Cancer-associated thrombosis [J]. N Engl J Med, 2003, 349(2): 109-111.
25
Navi BB, Reiner AS, Kamel H, et al. Risk of arterial thromboembolism in patients with cancer [J]. J Am Coll Cardiol, 2017, 70(8): 926-938.
26
Levi M, van der Poll T, Schultz M. Infection and inflammation as risk factors for thrombosis and atherosclerosis [J]. Semin Thromb Hemost, 2012, 38(5): 506-514.
27
Roach REJ, Helmerhorst FM, Lijfering WM, et al. Combined oral contraceptives: the risk of myocardial infarction and ischemic stroke [J]. Cochrane Database Syst Rev, 2015, 2015(8): CD011054.
28
Walker ID. Venous and arterial thrombosis during pregnancy: epidemiology [J]. Semin Vasc Med, 2003, 3(1): 25-32.
29
Falanga A, Marchetti M, Vignoli A. Coagulation and cancer: biological and clinical aspects [J]. J Thromb Haemost, 2013, 11(2): 223-233.
30
Rousseau J, Wen PY. Cerebrovascular and peripheral vascular complications in cancer patients [J]. Curr Neurol Neurosci Rep, 2025, 25(1): 46.
31
Esmon CT. The interactions between inflammation and coagulation [J]. Br J Haematol, 2005, 131(4): 417-430.
32
Khizroeva J, Bitsadze V, Sukhikh G, et al. Combined oral contraceptives and the risk of thrombosis [J]. Int J Mol Sci, 2025, 26(22): 11010.
33
Jog AS, Nagendra S, Bandgar P, et al. Carotid floating thrombus with patent foramen ovale: an unusual cause of stroke in young [J]. Cureus, 2024, 16(12): e75034.
34
尹琛俊, 张喆, 李晓明. 卵圆孔未闭相关血栓形成机制的研究进展 [J/OL]. 中华脑血管病杂志(电子版), 2023, 17(4): 307-311.
35
Field TS, Sposato LA, Hill MD, et al. Embolic stroke of undetermined source: current perspectives on diagnosis, investigations, and management [J]. Can J Cardiol, 2022, 39(2): 172-186.
36
Aouam O, de Bresser CJM, van Hattum ES, et al. Definition of carotid artery free floating thrombus: a systematic review and call for standardisation of imaging and nomenclature [J]. EJVES Vasc Forum, 2025, 64: 199-207.
37
俞淑凤, 李宁, 徐健, 等. 颈动脉漂浮血栓相关缺血性卒中诊断与治疗进展 [J]. 中国现代神经疾病杂志, 2023, 23(7): 638-642.
38
Vera-Cáceres C, Álvarez-Cienfuegos J, Murillo A, et al. Snake-fang sign on carotid ultrasonography: a source of free-floating thrombus and embolic stroke [J]. Stroke, 2023, 54(7): e296-e298.
39
Karapanayiotides T, Piechowski-Jozwiak B, Michel P, et al. "Hyperechogenic rim" sign in internal carotid artery thrombus [J]. Arch Neurol, 2004, 61(5): 773-774.
40
Stein L, Liang JW, Weinberger J. Resolution of occlusive carotid artery thrombus treated with anticoagulation as demonstrated on duplex ultrasonography [J]. J Neuroimaging, 2017, 27(4): 376-380.
41
Jaberi A, Lum C, Stefanski P, et al. Computed tomography angiography evaluation of internal carotid artery free-floating thrombus--single-center diagnosis, false-positives, and follow-up [J]. Emerg Radiol, 2012, 19(4): 359-362.
42
Menon BK, Singh J, Al-Khataami A, et al. The donut sign on CT angiography: an indicator of reversible intraluminal carotid thrombus? [J]. Neuroradiology, 2010, 52(11): 1055-1056.
43
Torres C, Lum C, Puac-Polanco P, et al. Differentiating carotid free-floating thrombus from atheromatous plaque using intraluminal filling defect length on CTA: a validation study [J]. Neurology, 2021, 97(8): e785-e793.
44
Renard D, Schuster I, Cheikh YB, et al. Intraluminal carotid artery thrombus on gadolinium-enhanced MRA [J]. Acta Neurol Belg, 2014, 115(4): 731-733.
45
Choi YJ, Jung SC, Lee DH. Vessel wall imaging of the intracranial and cervical carotid arteries [J]. J Stroke, 2015, 17(3): 238-255.
46
Sakai Y, Lehman VT, Eisenmenger LB, et al. Vessel wall MR imaging of aortic arch, cervical carotid and intracranial arteries in patients with embolic stroke of undetermined source: a narrative review [J]. Front Neurol, 2022, 13: 968390.
47
张归玲, 汤翔宇, 张顺, 等. 头颈部磁共振血管成像新技术及其在动脉粥样硬化斑块中的应用研究进展 [J/OL]. 中华脑血管病杂志(电子版), 2022, 16(1): 17-21.
48
Combe J, Poinsard P, Besancenot J, et al. Free-floating thrombus of the extracranial internal carotid artery [J]. Ann Vasc Surg, 1990, 4(6): 558-562.
49
Emberson J, Lees KR, Lyden P, et al. Effect of treatment delay, age, and stroke severity on the effects of intravenous thrombolysis with alteplase for acute ischaemic stroke: a Meta-analysis of individual patient data from randomised trials [J]. Lancet, 2014, 384(9958): 1929-1935.
50
Naylor R, Rantner B, Ancetti S, et al. Editor's choice - European Society for Vascular Surgery (ESVS) 2023 clinical practice guidelines on the management of atherosclerotic carotid and vertebral artery disease [J]. Eur J Vasc Endovasc Surg, 2023, 65(1): 7-111.
51
Camerotte R, Vilardo M, Ribeiro FV, et al. Efficacy and safety of anticoagulant and antiplatelet therapies in the medical management of carotid free-floating thrombus: a systematic review [J]. Interv Neuroradiol, 2024: 15910199241304164.
52
Jayyusi F, AlBarakat MM, Al-Rousan HH, et al. The efficacy of medical interventions for free-floating thrombus in cerebrovascular events: a systematic review [J]. Brain Sci, 2024, 14(8): 801.
53
Walters BB, Ojemann RG, Heros RC. Emergency carotid endarterectomy [J]. J Neurosurg, 1987, 66(6): 817-823.
54
Tomoyose R, Tsumoto T, Hara K, et al. Mechanical thrombectomy and carotid artery stenting for stenosis of the internal carotid artery with free-floating thrombosis: illustrative case [J]. J Neurosurg Case Lessons, 2021, 2(9): CASE21338.
55
Yamamoto Y, Yamamoto N, Matsuda T, et al. Stent retrieval for free-floating thrombus attached to carotid artery stenosis: a report of two cases [J]. Surg Neurol Int, 2023, 14: 274.
56
中华医学会神经病学分会, 中华医学会神经病学分会脑血管病学组. 中国急性缺血性卒中诊治指南2023 [J]. 中华神经科杂志, 2024, 57(6): 523-559.
[1] 李建雄, 杨诚, 贺慷, 薛康颐, 郭文彬, 陈明坤, 刘存东. 精索静脉曲张伴血栓形成两例报告[J/OL]. 中华腔镜泌尿外科杂志(电子版), 2026, 20(01): 114-116.
[2] 脊髓电刺激治疗卒中后偏瘫中国专家共识编写组, 中华医学会神经外科学分会功能神经外科学组, 中国研究型医院学会神经外科学专业委员会, 世界华人神经外科协会功能神经外科专业委员会, 北京医学会神经外科学分会功能神经外科专业组, 北京医学会神经外科学分会周围神经外科专业组. 脊髓电刺激治疗卒中后偏瘫中国专家共识(2025年)[J/OL]. 中华脑科疾病与康复杂志(电子版), 2026, 16(01): 8-18.
[3] 余程冬, 许方军, 潘升超, 刘云卫, 秦成义, 金彪. 运动想象训练联合任务导向训练对脑卒中偏瘫患者下肢功能的影响[J/OL]. 中华脑科疾病与康复杂志(电子版), 2026, 16(01): 34-39.
[4] 黄任远, 陈丽华, 徐文颖, 许振华. 外周血PI3K/Akt/mTOR信号通路与急性缺血性脑卒中静脉溶栓后出血转化的关系[J/OL]. 中华脑科疾病与康复杂志(电子版), 2026, 16(01): 40-45.
[5] 皇立媛, 浦洁, 王苏贵, 陈婷婷, 朱德慧, 胡雪. 中青年脑卒中患者应激障碍风险预测模型的构建与验证[J/OL]. 中华临床医师杂志(电子版), 2025, 19(07): 504-512.
[6] 侯志博, 张苗, 卢洁. 多延迟动脉自旋标记成像在急性缺血性脑卒中灌注评估中的研究进展与临床应用[J/OL]. 中华临床医师杂志(电子版), 2025, 19(06): 454-460.
[7] 马蓓蓓, 高翔, 黄露, 汪阳, 柳莹, 卢光东, 王雪梅. 社会支持在介入治疗后脑卒中主要照顾者负性情绪和照顾准备度间的中介作用[J/OL]. 中华介入放射学电子杂志, 2026, 14(01): 46-54.
[8] 陈芸, 杨海燕, 陈薇, 董贯忠, 张伟媛, 许钰. 社会支持和心理弹性在急性期脑卒中患者感知压力与睡眠质量间的链式中介作用[J/OL]. 中华卫生应急电子杂志, 2025, 11(06): 329-335.
[9] 宋文迪, 孙蔚, 宋海庆. 脑卒中后平衡障碍的发生机制及治疗的研究进展[J/OL]. 中华脑血管病杂志(电子版), 2026, 20(02): 111-118.
[10] 龙政, 任怡, 李佩佩, 王肖然, 边贺, 张阳, 邓应梅, 冀冰心, 马青峰. 基于病案首页数据分析缺血性脑卒中患者住院时长的影响因素[J/OL]. 中华脑血管病杂志(电子版), 2026, 20(01): 16-24.
[11] 曹俊杰, 王芳, 董丽丽, 伊晶晶, 吕晨晨, 马金凤, 于思靓, 张蔚, 陈怡帆, 黄勇华. 老年脑卒中住院患者口腔衰弱的影响因素[J/OL]. 中华脑血管病杂志(电子版), 2026, 20(01): 25-31.
[12] 苏丞, 唐忠, 陈思, 初明. 基于NHANES数据库分析身体圆度指数与脑卒中风险的相关性[J/OL]. 中华脑血管病杂志(电子版), 2026, 20(01): 42-49.
[13] 林文广, 刘馨仪, 吴凌峰. 进展性缺血性脑卒中诊疗的研究进展[J/OL]. 中华脑血管病杂志(电子版), 2026, 20(01): 77-81.
[14] 王晖, 刘艳娜, 周宝华, 杨琼, 罗永梅. 脑卒中后谵妄非药物干预的研究进展[J/OL]. 中华脑血管病杂志(电子版), 2026, 20(01): 91-95.
[15] 黄秋慧, 邓旭辉, 黄华, 梁志坚. 超24 h急性缺血性脑卒中患者血管内取栓治疗的研究进展[J/OL]. 中华脑血管病杂志(电子版), 2026, 20(01): 96-100.
阅读次数
全文


摘要


AI


AI小编
你好!我是《中华医学电子期刊资源库》AI小编,有什么可以帮您的吗?