Home    中文  
 
  • Search
  • lucene Search
  • Citation
  • Fig/Tab
  • Adv Search
Just Accepted  |  Current Issue  |  Archive  |  Featured Articles  |  Most Read  |  Most Download  |  Most Cited

Chinese Journal of Cerebrovascular Diseases(Electronic Edition) ›› 2025, Vol. 19 ›› Issue (05): 429-434. doi: 10.3877/cma.j.issn.1673-9248.2025.05.010

• Basic Science Research • Previous Articles    

Constraint-induced movement therapy stimulates the residual sensorimotor cortex and inhibits the phosphorylation of CRMP2 in a rat model of cerebral ischemia

Peile Liu1, Yixian Zhang1, Yulong Bai2, Nan Liu1,()   

  1. 1 Department of Rehabilitation, Fujian Medical University Union Hospital, Fuzhou 350001, China
    2 Department of Rehabilitation, Huashan Hospital Affiliated to Fudan University, Shanghai 200040, China
  • Received:2025-06-05 Online:2025-10-01 Published:2025-11-24
  • Contact: Nan Liu

Abstract:

Objective

To elucidate the mechanism of constraint-induced movement therapy (CIMT) improves motor function after stroke by examining its effects of CIMT on the bilateral cortical neurons activation patterns and collapsin response mediator protein 2 phosphorylation (CRMP2).

Methods

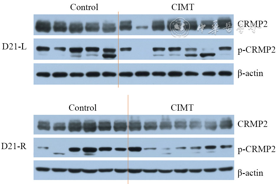
In this study, a left middle cerebral artery occlusion (MCAO) rat model was established using the "thread embolization method", and the rats were randomly divided into a CIMT group (n=7) or a control group (n=6). Starting on day 8 after modeling, the CIMT group underwent 2 weeks of CIMT training, while the control group was allowed to move freely in the cage. The motor function of the right forelimb was evaluated using the Footfault assessment system at baseline (D0), day 7 (D7), day 14 (D14), and day 21 (D21) post-surgery. On days 16 and 21 after MCAO, the contents of ΔFosB and CRMP2 in the bilateral sensorimotor cortex were detected to analyze activation patterns of the left and right brain during CIMT and evalute the effect of CIMT on CRMP2 and phosphorylated CRMP2 (p-CRMP2). Group comparisons were performed using independent samples t-test (for homogeneous variances) or Welch's corrected t-test (for heterogeneous variances).

Results

The Footfault effective placement rates were significantly higher in the CIMT group than in the control group at D14 (0.43±0.05 vs 0.30±0.06, t=3.971, P=0.002) and D21 (0.56±0.08 vs 0.31±0.07, t=6.161, P<0.001). On day 16 post-MCAO, the ΔFosB content in the left (infarcted side) sensorimotor cortex of the CIMT group was significantly higher than that of the control group (0.064±0.009 vs 0.036±0.004, t=2.947, P=0.026). On day 21, both p-CRMP2 levels and the p-CRMP2/CRMP2 ratio in the infarcted sensorimotor cortex were significantly lower in the CIMT group (0.371±0.095 vs 0.786±0.096, t=2.987, P=0.014; 0.263±0.063 vs 0.567±0.094, t=2.792, P=0.019).

Conclusion

CIMT enhances activation of the residual ipsilesional cortex and suppresses CRMP2 phosphorylation in the ischemic hemisphere suggesting that the residual cortex on the affected side plays an important role in neural remodeling during post-stroke recovery.

Key words: Constraint-induced movement therapy, Ischemic stroke, Protein, Residual cortex, Rehabilitation

京ICP 备07035254号-20
Copyright © Chinese Journal of Cerebrovascular Diseases(Electronic Edition), All Rights Reserved.
Tel: 01082266456, 15611963912, 15611963911 E-mail: zhnxgbzzbysy@163.com
Powered by Beijing Magtech Co. Ltd